The best Clinical Endocrinology source in the world, and FREE.

Endotext requires free registration
Login or Register

Menu

Skip to content
  • Home / Sections
  • Clinical Guidelines
  • Webinar Case Studies
  • Editorial Team
  • Country Associates
  • About
  • Instructions for Authors

figure5b

Published May 16, 2013 at 300 × 226 in Clinical Management of Male Infertility.
← Previous Next →

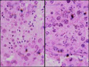
Figure 5B.Testicular histology from fine-needle aspiration samples. Left mild hypospermatogenesis with elongated spermatids with poor head morphology: right normal.

  • Agreement on Use
  • Supporters
  • Donations
  • Privacy Policy
  • Instructions for Authors (5/03/23)

Copyright © 2000-2025, MDText.com, Inc. All rights reserved.